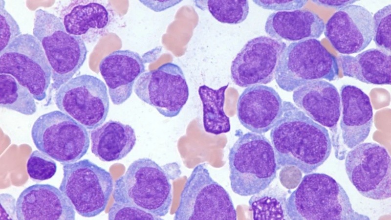
La leucemia mieloide aguda es considerada la más frecuente, debido a que representa en adultos cerca de 1 de cada 3 casos y 8 de cada 10 de las de tipo agudo. Constituye alrededor del 1% de todos los casos de cáncer.
Desde la Asociación Leucemia Mieloide Argentina (ALMA), subrayaron que se trata de un tipo de leucemia complejo, requiriendo un abordaje intensivo e inmediato y destacaron que la ciencia viene desarrollando, sobre todo en los últimos años, diferentes avances que mejoraron la especificidad del tratamiento y, lo más importante, su eficacia y seguridad en pos de prolongar la vida.
Históricamente, el abordaje de esta enfermedad fue muy complejo. En los últimos años el panorama se volvió "mucho más esperanzador que el de hace 10 años atrás", según destacan especialistas. De esta forma, controlar la enfermedad resulta una posibilidad cada vez mayor.
Los avances
Con el objetivo de lograr una remisión completa, es decir, que la médula ósea y los recuentos de células en sangre vuelvan a la normalidad, los expertos también buscan que esto pueda sostenerse en el tiempo. Es decir, que no haya señales de leucemia incluso ante estudios moleculares de alta sensibilidad.
"Se continúa investigando para comprender cómo las células normales de la médula ósea pueden transformarse en células leucémicas. Hoy se sabe que existen distintos tipos de leucemia mieloide aguda y que cada uno puede presentar cambios en el ADN -llamados mutaciones- que influyen tanto en la evolución de la enfermedad como en los tratamientos que podrían ser más efectivos para cada persona", resaltaron.
Actualmente, el tratamiento convencional para esta leucemia puede ser muy efectivo en algunos casos, pero no en todos: “El estándar es la indicación de ciclos intensivos de quimioterapia. Un porcentaje significativo responde a este tratamiento. Sin embargo, durante los últimos años han aparecido terapias dirigidas con diferentes mecanismos de acción que actúan sobre las distintas alteraciones genéticas inherentes a cada subtipo de enfermedad y que pueden determinar la elección terapéutica”.
Además, teniendo en cuenta que se trata de una enfermedad más frecuente en personas mayores, hay pacientes no aptos para recibir estos ciclos intensivos de quimioterapia por edad avanzada, fragilidad, estado general de salud u otros condicionamientos. Para ellos existen también tratamientos libres de quimioterapia, los cuales han demostrado resultados favorables en la prolongación de la sobrevida y reducción del riesgo de mortalidad.
"Confiamos en que esta innovación, que tanto ha mejorado la calidad de vida de los pacientes, pueda seguir llegando y esté disponible en nuestro país. Vemos con preocupación los recientes anuncios vinculados con la evaluación de nuevas tecnologías, por eso expresamos nuestro compromiso para trabajar junto con los decisores de políticas de salud. Existen aún muchas necesidades insatisfechas y la ciencia avanza cada día más para lograr mejores resultados”, concluyeron.
Fuente: NA.



